티스토리 뷰
파킨슨병은 뇌에서 도파민 생성 뉴런에 영향을 미치는 신경퇴행성 장애입니다. 파킨슨병 초기증상 발견과 조기진단은 파킨슨병을 관리하는데 매우 중요합니다. 파킨슨병 초기증상에 주의를 기울이고, 즉각적이고 효과적인 치료를 진행하면 질병을 효과적으로 개선할 수 있습니다.
1. 파킨슨병 이해
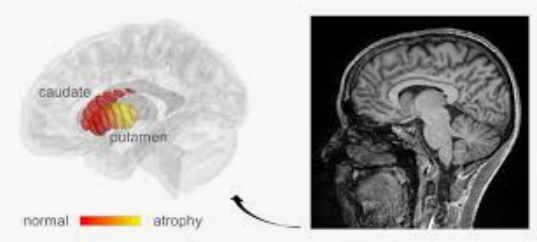
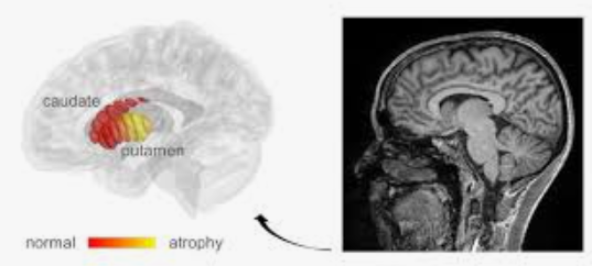
파킨슨병은 운동 조절에 관여하는 뇌의 일부인 흑색질에서 도파민 생성 세포의 점진적인 퇴화로 인해 발생하는 운동 장애 증상입니다. 유전적 요인과 환경적 요인이 복합적으로 작용하는 것으로 널리 알려져 있지만 이 퇴행의 원인은 거의 알려지지 않았습니다.

상당한 연구 노력에도 불구하고 현재 파킨슨병에 대한 치료법은 없습니다. 그러나 약물, 수술 및 물리 치료를 포함한 여러 치료 전략 및 파킨슨병 초기증상의 발견이 증상을 완화하고 관리하는데 많은 도움이 될 수 있습니다.



2. 파킨슨병 초기증상: 운동 관련
파킨슨병은 점진적으로 발전하는 경향이 있으며 종종 거의 눈에 띄지 않는 운동 증상으로 시작합니다. 다음은 몇 가지 주요 파킨슨병 초기증상 및 징후입니다.
아래의 운동 증상은 일반적으로 파킨슨병의 가장 눈에 띄는 징후이며 일반적으로 치료를 받아야 하는 주요 원인이 됩니다. 여기에서 우리는 파킨슨병 초기증상 (운동)에 대해 자세히 알아보겠습니다.



① 운동완서증(움직임이 느려짐):
운동완서증은 종종 파킨슨병 환자가 알아차리는 첫 번째 증상 중 하나입니다. 간단한 작업이나 움직임이 어렵고 시간이 많이 소모되는 경향이 있습니다. 목욕이나 옷 입기와 같은 일상 활동을 수행하는 데 시간이 더 오래 걸릴 수 있으며 걸을 때 팔을 휘두르지 않을 수도 있습니다.
② 휴식중의 떨림:
떨림 또는 흔들림은 일반적으로 사지, 종종 손이나 손가락에서 시작됩니다. 일명 "알약 굴리기" 떨림이라고 합니다. 움직임이 마치 엄지와 검지 사이에 작은 물체나 알약을 굴리는 움직임과 유사하기 때문에 이런 이름이 붙여졌습니다. 떨림은 팔다리가 쉬고 이완되었을 때 두드러집니다. 일반적으로 사람이 의도적으로 팔다리를 움직일 때 감소하고 수면 중에는 사라집니다.
③ 경직:
경직 또는 뻣뻣함도 파킨슨병 초기증상이며, 종종 사지와 목에서 시작됩니다. 파킨슨병을 앓고 있는 사람들은 종종 근육이 조여지거나 수축되어 움직이기가 더 어려워지는 것처럼 느낍니다. 이로 인해 운동 범위가 줄어들고 불편함이나 통증이 발생할 수 있습니다.
④ 자세 불안정(균형 문제):
이 파킨슨병 초기증상은 일반적으로 질병의 후기 단계에서 발생하지만 일부 사람들은 조기에 균형과 조정에 문제를 겪을 수 있기 때문에 알아두셔야 합니다. 서있을 때 불안정함을 느끼거나 돌아서는 데 어려움을 겪을 수 있으며, 이는 낙상으로 이어질 수 있습니다.
⑤ 보행장애 (Parkinsonian Gait):
작고 빠른 걸음으로 특징지어지는 특유의 질질 끌며 걷는 모습을 보일 수 있습니다. 또한 걷기 시작하는 데 어려움(주저하면서 시작) 또는 멈추기 어려움이 있을 수 있습니다.






이러한 파킨슨병 초기증상은 일반적으로 신체의 한쪽에서 시작하여 일반적으로 질병이 진행되는 동안 그 쪽에서 더 악화된다는 점에 유의하는 것이 중요합니다. 또한 이러한 증상은 미묘하고 초기 단계에서 산발적으로 발생할 수 있으므로 쉽게 간과할 수 있습니다. 그러나 질병이 진행됨에 따라 더 일관되고 눈에 띄게 됩니다.
이러한 증상은 다른 상태와도 연관될 수 있으므로 증상이 있다고 해서 반드시 파킨슨병이 있다는 의미는 아닙니다. 정확한 진단을 위해서는 의료진의 철저한 평가가 필요합니다.






3. 파킨슨병 초기증상: 비운동 관련
파킨슨병 초기증상으로 운동 증상 외에도 비운동 증상도 나타날 수 있습니다. 파킨슨병의 비운동 증상은 모르고 지나칠 수 있으나, 질병의 조기 발견에 중요합니다. 운동 증상만큼 눈에 띄지 않을 수 있지만 이러한 변화는 개인의 삶의 질에 상당한 영향을 미칠 수 있습니다. 파킨슨병 초기증상, 비운동 관련한 내용에 대해 살펴보겠습니다.
① 후각 상실(저산소증):
파킨슨병을 앓고 있는 많은 사람들은 냄새를 맡거나 특정 냄새를 구별하는 능력이 떨어집니다. 이것은 운동 증상이 시작되기 몇 년 전에 발생할 수 있으므로 잠재적으로 중요한 조기 경고 신호(파킨슨병 초기증상)가 됩니다.
② 수면 문제:
파킨슨병 환자는 종종 수면 장애를 경험합니다. 이는 잠들기 어렵거나 잠들기 어려운 것에서부터 개인이 꿈을 꾸는 REM 수면 행동 장애와 같은 보다 구체적인 상태에 이르기까지 다양합니다.
③ 기분 장애:
우울증과 불안은 파킨슨병 환자에게 흔하며 질병 진행 초기에 파킨슨병 초기증상으로 발생할 수 있습니다. 개인은 슬프거나 냉담함을 느끼거나 에너지 수준이 낮거나 불안, 걱정 또는 두려움을 경험할 수 있습니다.
④ 변비:
파킨슨병을 앓고 있는 많은 사람들이 소화 문제, 특히 변비를 경험합니다. 이는 소화관의 움직임이 느려 도파민 생성 감소와 직결되기 때문입니다.
⑤ 인지 변화:
기억력, 집중력 및 의사 결정 문제를 포함한 경도 인지 장애는 초기 단계에서 발생할 수 있는 파킨슨병 초기증상입니다. 이러한 변화는 일반적으로 미묘하며 일상 활동을 크게 방해하지는 않는 수준입니다.
⑥ 기립성 저혈압:
앉거나 누웠다가 일어설 때 발생하는 저혈압의 한 형태로 현기증이나 현기증을 유발합니다. 혈압을 조절하는 자율신경계의 기능 장애가 원인입니다.
⑦ 피로 및 에너지 손실:
파킨슨병 환자는 숙면을 취한 후에도 지속적인 피로감과 에너지 부족을 경험할 수 있습니다.



이러한 비운동 관련한 파킨슨병 초기증상은 일상 활동과 전반적인 삶의 질에 지대한 영향을 미칠 수 있기 때문에 운동 증상보다 개인에게 더 귀찮은 경우가 많습니다. 이러한 증상을 조기에 인식하면 시기 적절한 진단 및 관리 계획을 용이하게 할 수 있습니다. 운동 증상과 마찬가지로 이러한 비운동 증상도 다른 건강 상태와 연관될 수 있으므로 의료 서비스 제공자와 상의하는 것이 중요합니다.






4. 파킨슨병 초기증상 조기 진단 중요한이유
파킨슨병의 조기 진단은 향후 질병 관리에 상당한 영향을 미칠 수 있습니다. 증상을 조절하고 잠재적으로 질병의 진행을 늦출 수 있는 약물을 조기에 선택할 수 있습니다. 그러나 파킨슨병을 진단하는 것은 명확한 검사가 아직은 없고, 많은 증상이 다른 조건과 겹치기 때문에 어려울 수 있습니다. 일반적으로 철저한 임상 검사와 시간 경과에 따른 증상 관찰로 진행이 됩니다.
5. 파킨슨병과 함께 생활하기
파킨슨병은 현재 불치병이지만 사형선고는 아닙니다. 파킨슨병을 앓고 있는 많은 사람들이 약물의 도움으로 계속해서 활동적이고 행복한 삶을 영위하고 있습니다. 그리고 치료법. 물리 치료, 작업 치료 및 언어 치료의 조합은 삶의 질을 크게 향상시킬 수 있습니다.
6. 관리 및 치료
파킨슨병 관리는 증상을 최소화하고 기능적 능력을 최대화하여 삶의 질을 향상시키는 데 초점을 맞추게 됩니다. 여기에는 종종 약물, 생활 습관 변화, 경우에 따라 수술의 조합이 포함됩니다.
(1). 약물: 파킨슨병에 대한 가장 일반적인 약물은 도파민 수치를 높이거나 뇌에서 그 효과를 모방하는 방식으로 작용합니다. 카비도파(Carbidopa-Levodopa)와 결합된 레보도파는 혈뇌 장벽을 통과하여 도파민으로 전환될 수 있기 때문에 가장 효과적인 치료법 중 하나입니다.
(2). 생활 습관 수정: 규칙적인 신체 활동과 건강한 식단은 파킨슨병 증상을 관리하는 데 도움이 될 수 있습니다. 운동은 이동성, 균형 및 전반적인 삶의 질을 향상시킬 수 있습니다. 섬유질과 체액이 풍부한 식단은 일반적인 비운동 증상인 변비를 관리하는 데 도움이 될 수 있습니다.
(3). 외과적 중재: 뇌심부자극술(DBS)은 일부 파킨슨병 환자를 위한 수술 옵션입니다. DBS는 움직임을 담당하는 뇌 영역에 전기 신호를 보내는 장치를 이식하여 운동 증상을 줄이는 것입니다.






7. 임상 시험 및 향후 연구
많은 임상 시험이 현재 진행 중이며, 새로운 치료 접근법과 희망적으로 파킨슨병에 대한 치료법을 밝히기 위해 노력하고 있습니다. 이 시험은 질병 진행을 늦추거나 멈출 수 있는 신경 보호 치료부터 손상되거나 죽은 뇌 세포를 대체하기 위한 줄기 세포 사용에 이르기까지 모든 것을 조사하고 있습니다.






8. 결론
파킨슨병 초기증상 및 징후를 이해하는 것은 시기 적절한 의료적 개입을 시작하는데 중요합니다. 이 질병은 사람마다 증상이 다를 수 있습니다. 파킨슨병과 함께 생활하는 것은 힘들지만 파킨슨병 초기증상 발견과 빠른 대응으로 환자가 만족스럽고 행복한 생활을 누릴 수 있습니다. 올바른 치료 및 지원과 조기 발견은 질환을 앓고 있는 사람들의 예후와 삶의 질을 크게 향상시킬 수 있습니다.







